Shaip is now part of the Ubiquity ecosystem: Same team - now backed by expanded resources to support customers at scale. |
Techy Gossips - Shaip

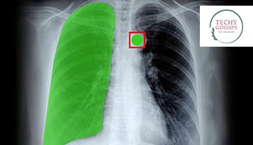
Why Data Annotators are the key to the Growth of Medical AI?

Why Data Annotators are the key to the Growth of Medical AI?

If you are searching for the brain behind Artificial Intelligence Models, then this article is the must-read for you. Vatsal Ghiya CEO and cofounder of Shaip in this article shared how data annotators are the key reason for growing the Medical AI model.

The Key Takeaway from the Article is-

  • According to Vantage Market Research, the market relevant to AI-driven Healthcare is expected to be valued at $95.65 Billion by the end of 2028. From AI’s role in drug discovery to robot-driven surgery, intelligent models will start surfacing relentlessly over time.
  • But, it’s important to keep the challenges in consideration before deploying these models. Hence, to create a better AI model, check erroneous data and also check whether there are specific medical annotation tools and professionals for collecting the insights from the data.
  • Data annotation tools can be used in healthcare for scaling the healthcare process, improving the quality of AI resources, offering top-notch security and building better workplace experiences for healthcare professionals and customers as well.

Read the full article here:

https://www.techygossips.com/2022/04/how-are-data-annotators-behind-rapid-growth-of-medical-ai.html

Social Share

Let’s discuss your AI Training Data requirement today.