Medical image annotation plays a vital role in providing machine learning algorithms and AI models with the necessary training data. This process is essential for AI to accurately detect diseases and conditions, as it relies on pre-modeled data to generate appropriate responses.
Put simply, medical image annotation is the process of labeling and describing medical images. This not only assists in diagnosing conditions but also plays a crucial role in research and the delivery of medical care. By marking and labeling specific biomarkers, AI programs can interpret and analyze the information-rich images, leading to rapid and precise diagnoses.
In 2022, the global healthcare data annotation tools market was valued at USD 129.9 million and is projected to experience a remarkable compound annual growth rate (CAGR) of 27.5% from 2023 to 2030. The integration of data annotation tools in the healthcare sector is revolutionizing diagnosis, treatment, and patient monitoring. By generating accurate diagnoses and enabling personalized treatments, these tools are significantly enhancing healthcare research and outcomes.

Image Source: Grandviewresearch
The phenomenal advancements in machine learning and artificial intelligence have revolutionized the healthcare industry.
The global market for AI in healthcare in 2016 was about one billion, and this number is estimated to shoot up to more than $28 billion by 2025. The market size of global AI in Medical Imaging, in particular, was estimated to be around $980 million in 2022. Moreover, this figure is projected to rise at a CAGR of 26.77% to $3215 million by 2027.
What is Medical Image Annotation?
The healthcare industry is leveraging the potential of ML to deliver enhanced patient care, better diagnostics, accurate treatment predictions, and drug development. However, there are a few areas of medical sciences where AI can aid medical professionals in medical imaging. Yet, to develop accurate AI-based medical imaging models, you need massive amounts of medical imaging labeled and annotated accurately.
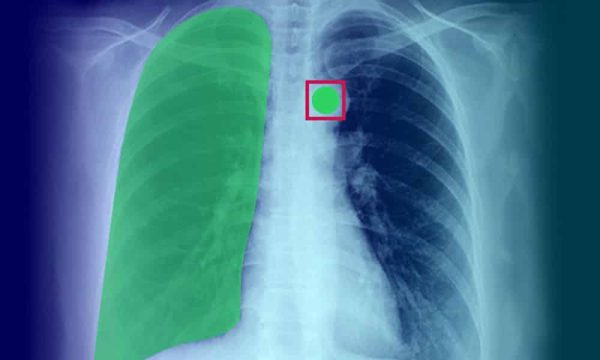
Medical image annotation is the technique of accurately labeling medical imaging such as MRI, CT scans, Ultrasounds, Mammograms, X-Ray, and more to train the machine learning model. In addition to imaging, medical image data such as records and reports are also annotated to help train clinical NER and Deep Learning models.
This medical image annotation helps train deep learning algorithms and ML models to analyze medical images and improve diagnosis accurately.
Understanding Medical Image Annotation
In medical image annotation, X-rays, CT scans, MRI scans, and related documents are labeled. The AI algorithms and models are trained for different purposes using the labeled information and markers provided through Named Entity Recognition (NER). Using this information, AI programs save doctors time and help them make better decisions. As a result, patients get more targeted outcomes.
If not for an AI program, this task is done by doctors and specialists. Just as professionals learn through years of training and studies, an AI model needs training which is provided in part by annotated image data. Using this data, AI models and machine learning programs learn to bridge the gap between an individual’s medical expertise and AI capabilities.
This merger between humans and artificial intelligence is making healthcare diagnosis precise, fast, and proactive. As a result, human error is reduced because an AI program can detect anomalies at the molecular level with better efficiency, thus improving patient outcomes.
Role of Medical Image Annotation in Medical Diagnostics

Cancer Detection
Cancer cell detection is perhaps the biggest role of AI in medical imaging analysis. When models are trained on massive sets of medical imaging data, it helps the model accurately identify, detect and predict the growth of cancer cells in organs. As a result, the potential for human errors and false positives can be eliminated to a large extent.
Dental Imaging
Teeth and gum-related medical issues such as cavities, abnormalities in teeth structure, decay, and diseases can be accurately diagnosed with AI-enabled models.
Liver Complications
Complications related to the liver can be detected, characterized, and monitored effectively by assessing medical images to detect and identify anomalies.
Brain Disorders
Medical image annotation helps detect brain disorders, clots, tumors, and other neurological issues.
Dermatology
Computer vision and medical imaging are also extensively used to detect dermatological conditions quickly and effectively.
Heart conditions
AI is also being increasingly used in cardiology to detect heart anomalies, heart conditions, the need for intervention, and interpreting echo cardiograms.
Types of Documents Annotated through Medical Image Annotation
Medical data annotation is a crucial part of machine learning model development. Without proper and medically accurate annotation of records with text, metadata, and additional notes, it becomes challenging to develop a valuable ML model.
It would help if you had extremely talented and experienced annotators for medical image data. Some of the various documents that are annotated:
- CT Scan
- Mammogram
- X-Ray
- Echocardiogram
- Ultrasound
- MRI
- EEG
- DICOM
- NIfTI
- Audio – Physician Dictation Audio
- Videos
- Photos
- Text – EHR Dataset
- Images
Applications of Medical Image Annotation in Healthcare
Medical image annotation can serve multiple purposes in addition to detecting diseases and diagnoses. Well-trained data has helped AI and ML models to improve healthcare services. Here are some additional applications of medical image annotation:
Virtual Assistants
Medical image annotation is empowering AI virtual assistants to provide real-time and accurate information. It analyzes medical images and uses pre-trained data to find relevance and deliver responses.
Diagnostic Support
For accurate diagnosis, AI models can assist medical professionals in rectifying human errors. While increasing the speed of detecting conditions, it can also reduce execution costs.
Early Diagnosis
With conditions like Cancer, where a late diagnosis can result in fatal results, early diagnosis through identifying the early biomarkers or life-threatening is highly appreciated.
Pattern Recognition
Pattern recognition is helpful in drug development, where medical image annotation is used for discovering specific biological responses to different types of substances.
Robotic Surgery
In robotics surgery, medical image annotation and AI work together to comprehend complex human body parts and structures. Using this information, AI models can perform surgeries with precision.
Medical image annotation VS Regular data annotation
If you are building an ML model for medical imaging, you should remember that it is different from regular image data annotation in so many ways. First, let’s take the example of radiology imaging.
But before we do that, we are laying out the premise – all photos and videos that you’ve ever taken come from a small fraction of the spectrum called the visible light. However, radiology imaging is made using X-Rays which come under the invisible light portion of the electromagnetic spectrum.
Here is a detailed comparison of medical imaging annotation and regular data annotation.
| Medical Imaging Annotation | Regular Data Annotation |
|---|---|
| All medical imaging data should be de-identified and protected by Data Processing Agreements (DPA) | Regular images are readily available. |
| Medical Images are in DICOM Format | Regular images can be in JPEG, PNG, BMP, and more |
| Medical image resolutions are high with a 16-Bit Colour profile | Regular images can have an 8-Bit Colour profile. |
| Medical images also contain units of measurement for medical purposes | Measurements pertain to the camera |
| HIPAA compliance is strictly required | Not regulated by compliance |
| Multiple images of the same object from different angles and views are provided | Separate images of different objects |
| It should be guided by radiology controls | Regular camera settings are accepted |
| Multiple slice annotations | Single slice annotations |
HIPAA Compliance

HIPAA is a federal law that governs the safety of electronically transmitted health information and mandates appropriate measures to be taken by providers to protect and safeguard patient information from being disclosed without the patient’s consent.
- Is there a system for healthcare information storage and management?
- Are the system backups created, maintained, and updated regularly?
- Is there a system to prevent unauthorized users from accessing sensitive medical data?
- Is the data encrypted during rest and transfer?
- Are there any measures preventing users from exporting and storing medical images on their devices, causing a security breach?
How to choose the best Medical Image Annotation Company
- Domain Expertise: Seek out a company with extensive experience in annotating medical images and a profound grasp of medical terminology, anatomy, and pathology.
- Quality Assurance: Ensure that the company implements a stringent quality control process to guarantee the precision, uniformity, and alignment with your specific criteria in annotations.
- Data Security and Privacy: Verify that the company maintains robust measures for data security and adheres to pertinent regulations like HIPAA or GDPR to safeguard sensitive patient data.
- Scalability: Choose a company that can handle your project’s scale and has the capacity to ramp up or down as your needs change.
- Turnaround Time: Factor in the company’s capacity to provide annotations within your stipulated timeframe while upholding quality standards.
- Communication and Collaboration: Look for a company that maintains clear communication channels and is responsive to your needs and feedback throughout the project.
- Technology and Tools: Assess the company’s use of advanced annotation tools and technologies, such as machine learning-assisted annotation, to improve efficiency and accuracy.
- Pricing and Value: Compare pricing across different companies, but also consider the value they provide in terms of quality, service, and expertise.
- References and Case Studies: Request references or case studies from the company to evaluate their experience and track record in medical image annotation projects similar to yours.
How Can Shaip Help?
Shaip has been a consistent market leader in providing high-quality training image datasets to develop advanced healthcare AI-based medical solutions. We have a team of experienced, exclusively trained annotators and a huge network of highly qualified radiologists, pathologists, and general physicians who assist and train the annotators. In addition, our best-in-class annotation accuracy and data labeling services help develop tools to improve patient diagnosis.
When partnering with Shaip, you can experience the ease of working with professionals who ensure regulatory compliance, data formats, and short throughput time.
When you have a medical data annotation project in mind that needs world-class expert annotation services, Shaip is the right partner who can launch your project in no time.